about
Trusted and
holistic approach
about us
Vision of Dr. Ritika

Smiles to Restore
as Time Leaps.

At Dr. Ritika’s Endoelite Dental Clinic – Implant, Laser & Aesthetic Centre , one vision stands above all: To ensure that every patient, with every passing day, receives the finest care and has their teeth restored, saved, or treated in the best possible way.

Our clinic is equipped with state-of-the-art facilities, including the first OPG (Full Mouth X-Ray) unit in the region. From advanced sterilisation systems ,modern dental chairs , RVG imaging, specialised dental instruments, every detail is designed to deliver excellence.

We also provide a welcoming space for visiting consultants, offering expertise in orthodontic treatments like braces and surgical procedures The clinic is a certified provider of modern Invisalign: clear aligner therapy. ensuring world-class smile correction with comfort and precision to patients of any age group from pedo to geriatric patients.

%

Patient
Satisfaction

%

Quality
Care Focus

profile

Dr. Ritika Mundhra

Founder & Chief Dentist

about shape
about us
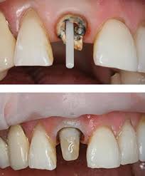
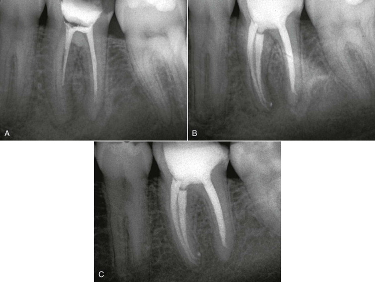
Smile Transformation Journey

Case Highlights. Visible Results

about shape
welcome new patient’s
Welcome to Dr. Ritika’s EndoElite Dental Clinic

Welcoming New Patients with Care & Comfort

Experience gentle, precise, and advanced dental care in a warm, patient-focused environment. Your comfort, confidence, and smile health are our top priorities.

why choose
why choose
why choose us
Why Choose Us

Why Patients Choose EndoElite

Advanced & Specialized Dental Care

Advanced care in Endodontics, Implants, Laser & Aesthetic Dentistry, delivered with expertise and precision.

Modern Technology & Hygiene

We use modern technology for precise, minimally invasive treatments while maintaining the highest standards of hygiene and sterilization.

Personalized & Comfortable Experience

Personalized treatment planning focused on comfort, safety, and long-lasting dental results for every patient.

shape
Root Canal Icon

+

Root Canals

Dental Filling Icon

+

Dental Fillings

Extraction Icon

+

Extractions

Implant Icon

+

Dental Implants

Ortho Icon

+

Ortho Cases

Experience Icon

+

Years Experience

Satisfied Patients Icon

%

Satisfied Patients

Book An Appointment

shape shape shape
Dental Expertise
About Dr. Ritika

Excellence in Modern
Dental Care

Founded by Dr. Ritika, EndoElite Dental Clinic reflects her passion for advanced and compassionate dentistry. With BDS, MDS (Endodontics) and experience since 2016, she has treated thousands of patients with precision and care.

She specialises in painless RCTs, cosmetic dentistry, implants, laser dentistry, ozone therapy and more—offering personalised, minimally invasive treatments for healthy, natural-looking smiles.

“With her Vision of Smiles to restore as time leaps,” she has tried to equipped her clinic with features modern technology including the region’s first OPG unit, advanced sterilisation, RVG imaging, and state-of-the-art dental equipment.

EndoElite also provides orthodontics, surgical expertise, and certified Invisalign treatment—ensuring world-class smile correction for all age groups.

Successful Dental Procedures

99%

Patient Satisfaction Rate

98%
skills
our expert team
our expert team

meet our expert team

Personalized Treatment Plans

At Dr. Ritika’s EndoElite Dental Clinic, every patient receives a carefully tailored treatment plan based on their unique dental needs. Our expert team ensures accurate diagnosis, transparent guidance, and customized solutions for long-lasting oral health.

Our Work Process
Our Dental Care Process

How We Care for Your Smile

Book Your Dental Visit

Schedule an appointment with our expert team at Dr. Ritika’s EndoElite Dental Clinic.

Complete Dental Examination

We perform a detailed check-up using modern diagnostic tools to identify your exact dental needs.

Discuss Your Treatment Plan

Our dentist explains the condition clearly and recommends a personalized dental treatment plan.

Begin Your Dental Treatment

Receive comfortable, precise, and advanced dental care with long-term results at our clinic.

shape
FAQ’S
FAQ’S

Dental FAQs

Is Root Canal Treatment painful at your clinic?

At Dr. Ritika's EndoElite Implant, Laser & Aesthetic Centre, Root Canal Treatment is performed using modern rotary instruments and digital imaging. The procedure is safe, comfortable, and almost painless under local anesthesia.

How long do Dental Implants last?

Dental implants at our centre are highly durable and can last 15–20 years or even a lifetime with proper oral hygiene and regular checkups. We use advanced, high-quality implant systems for long-term success.

Is Laser Dentistry safe for gum treatment?

Yes. Laser dentistry is extremely safe and minimally invasive. At EndoElite, we use advanced dental lasers for gum surgery, depigmentation, and soft-tissue procedures with faster healing and minimal discomfort.

Do you provide Invisalign or braces for teeth alignment?

Yes, we offer both traditional braces and modern clear aligners. Dr. Ritika's EndoElite Clinic is a Certified Invisalign Provider, offering comfortable and almost invisible smile-correction solutions for teens and adults.

faq shape
our testimonials
our testimonials

What Our Patients Say

Call WhatsApp Instagram Facebook YouTube
back top