Periapical Surgery Treatment

Periapical Surgery (Apicoectomy)

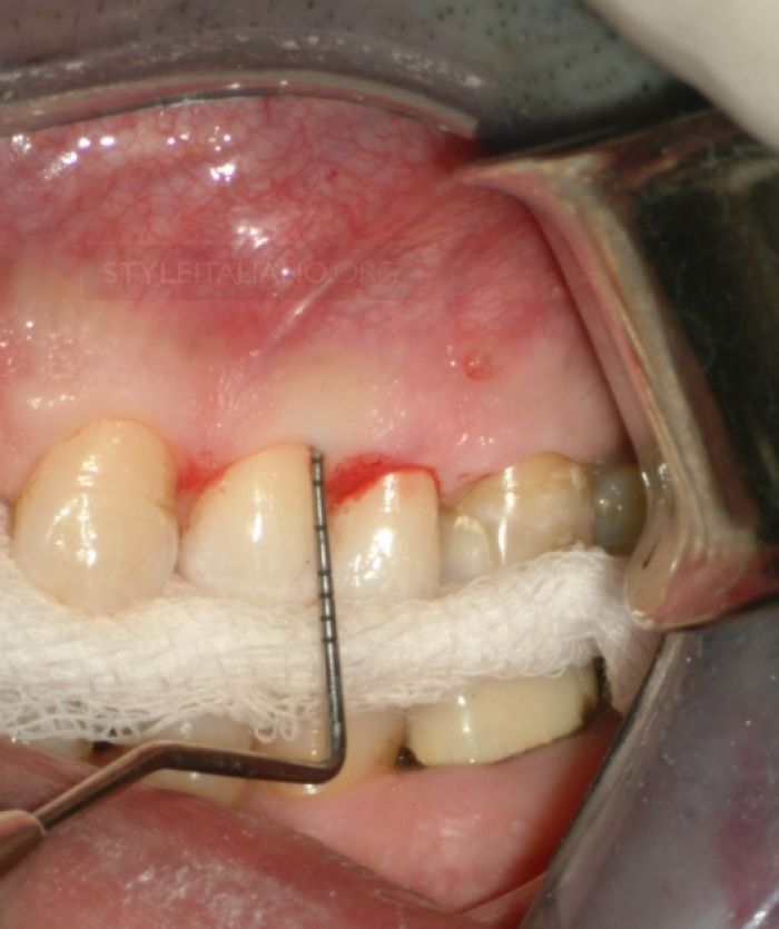
Periapical Surgery, commonly known as an Apicoectomy, is a specialized endodontic procedure used to treat persistent infection at the tip of the tooth's root that cannot be resolved through conventional Root Canal Treatment alone. At Dr. Ritika’s EndoElite Dental Clinic, this microsurgical procedure is performed with utmost precision to remove the infected tissue, seal the root end, and preserve the natural tooth.

During the procedure, a small flap is created in the gum to access the root tip, the infection is cleaned thoroughly, and the root end is sealed with biocompatible material. Periapical surgery helps eliminate chronic infection, alleviates pain, and restores the tooth’s long-term stability.

Why is Periapical Surgery Needed?

Periapical Surgery is required when infection persists even after Root Canal Treatment or when the root anatomy prevents proper cleaning through non-surgical methods. It is often recommended when radiographs show cysts, abscesses, or pathology near the root tip.

Periapical Surgery helps:
• Remove persistent infection at the root tip
• Treat cysts, abscesses, and inaccessible root areas
• Preserve the natural tooth and prevent extraction
• Seal the root end to prevent reinfection
• Restore bone healing and long-term tooth stability


This procedure is highly effective when traditional RCT is insufficient, offering a reliable solution to save the affected tooth and restore oral health.

  • Microsurgical Precision for Root-End Treatment
  • Removes Infection Resistant to Root Canal Therapy
  • Biocompatible Root-End Sealing Materials
  • Saves the Natural Tooth & Restores Function
Periapical Surgery Procedure

At EndoElite, Periapical Surgeries are performed using advanced magnification systems, microsurgical instruments, and high-quality sealing materials. Our goal is to eliminate infection completely, promote natural bone healing, and preserve your tooth with the highest success rate.

Frequently Asked Questions

Is Periapical Surgery painful?

No. The procedure is performed under local anesthesia, ensuring a comfortable experience. Mild post-operative discomfort may occur but is easily managed with prescribed medication.

When do I need Periapical Surgery?

You may need this procedure if you have persistent infection after an RCT, cyst formation, discomfort around the tooth, unresolved abscesses, or unusual root anatomy. A dental X-ray and examination will confirm the need for surgery.

How long does healing take after Periapical Surgery?

Initial healing takes around **7–10 days**, and complete bone regeneration may take several months. Most patients resume normal activities within 24 hours.

Call WhatsApp Instagram Facebook YouTube
back top