Complete & Partial Denture Treatment

Complete & Partial Dentures

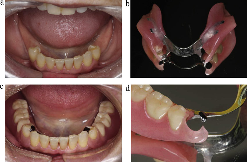
Complete and Partial Dentures are removable prosthetic solutions designed to replace missing teeth and restore natural function, comfort, and appearance. At Dr. Ritika’s EndoElite Dental Clinic, we create custom-made dentures using advanced materials and precision techniques to provide an excellent fit, improved chewing efficiency, and enhanced facial aesthetics.

Complete dentures are ideal for patients who have lost all their teeth in the upper or lower arch, while partial dentures are recommended when some natural teeth remain. Both options are designed to improve oral function, maintain facial support, and provide a confident, natural-looking smile.

Why Are Dentures Needed?

Dentures are recommended for patients who are missing multiple or all teeth due to decay, gum disease, trauma, or natural aging. Missing teeth not only affect appearance and confidence but also lead to difficulties in chewing, speaking, and maintaining proper facial structure.

Complete and Partial Dentures help:
• Restore the ability to chew and speak normally • Replace missing teeth and improve smile aesthetics • Maintain facial volume and prevent sagging • Support any remaining natural teeth (in case of partial dentures)

With modern materials and digital impression techniques, dentures today look more natural, feel more comfortable, and provide significantly better stability than traditional options.

  • Natural-Looking & Aesthetic Replacement Teeth
  • Comfortable Fit with Custom Design
  • Durable Materials for Long-Term Use
  • Restores Chewing Ability & Facial Support
Denture Treatment Procedure

At EndoElite, our denture treatments involve precise measurements, advanced impression techniques, and expert craftsmanship to ensure a natural feel and secure fit. We focus on providing dentures that enhance comfort, improve function, and deliver a confident, beautiful smile tailored specifically to each patient’s needs.

Frequently Asked Questions

Are Complete & Partial Dentures comfortable to wear?

Yes. Modern dentures are designed using lightweight materials and customized impressions to ensure a secure and comfortable fit. Some initial adjustment may be needed, but most patients adapt quickly.

How do I know if I need dentures?

You may need dentures if you have multiple missing teeth, difficulty chewing, or notice changes in facial support or speech. A dental examination and assessment will determine the best type of denture for your condition.

How long do dentures last?

With proper care, dentures typically last **5–8 years**. Over time, natural bone changes may require adjustments or relining for an optimal fit. Regular dental check-ups help maintain comfort and functionality.

Call WhatsApp Instagram Facebook YouTube
back top